
| 自覚症状 | 上腹部(みぞおち)の痛み |
|---|---|
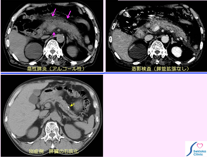
| 診断 | 超音波エコー検査、CTなどで殆ど診断できる。血液生化学検査(アミラーゼ・炎症反応・白血球)も有用な指標で併せて行われる。原因の検索には 膵臓の形態や膵管拡張、胆管拡張、石の存在など超音波エコー、CT、MRIなどが使われる。挿入のCT画像では膵臓の腫大と周囲の浮腫(矢印)を認める。右の画像から膵管拡張や胆管拡張は無く、飲酒によると推定。下段の比較参考画像は石灰化があるが浮腫・腫大のない膵臓である。 |
| 治療 | 当面、安静、絶食、薬剤の点滴、重症例では手術に至ることもあります。 |